В Туркестане врачи спасли жизнь ребенку, у которого в пищеводе застряла батарейка. Операция прошла успешно, но, по словам специалистов, случай едва не закончился трагедией и стал напоминанием о важности родительского контроля над безопасностью детей, передает inbusiness.kz со ссылкой на акимат Туркестанской области.
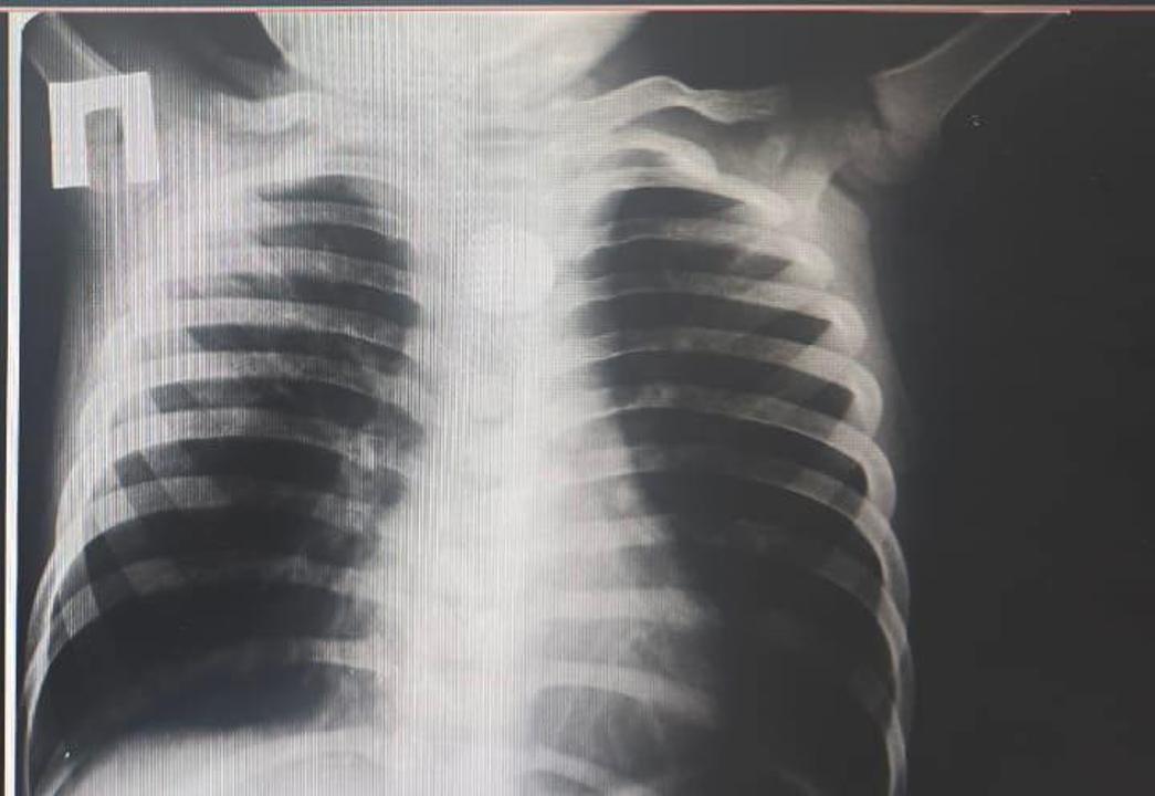
"По словам матери, после еды мальчик неожиданно начал сильно кашлять, его стошнило, появилось обильное слюноотделение. Родители немедленно обратились за медицинской помощью. При рентгенологическом обследовании в районной больнице врачи обнаружили, что в пищеводе ребенка застрял круглый металлический предмет — батарейка", - рассказали подробности инцидента в акимате региона.
Медики приняли решение о срочной транспортировке в Туркестанскую областную детскую больницу. Скорая помощь оперативно доставила пациента, где его уже ожидала бригада хирургов и эндоскопистов. После осмотра и дополнительных исследований рентген подтвердил: инородное тело находилось в верхней трети пищевода, что представляло серьезную угрозу жизни.
"Для спасения ребенка специалисты немедленно провели операцию, в ходе которой успешно удалили батарейку. По словам врачей, операция была непростой и требовала высокой точности, так как подобные предметы могут вызвать химические ожоги и перфорацию тканей", - подчеркнули в пресс-службе акима Туркестанской области.
После вмешательства ребенок находился под строгим наблюдением в реанимационном отделении. Медики отметили, что первые часы после извлечения были решающими для предотвращения осложнений. В настоящее время состояние маленького пациента улучшилось, его перевели в общую палату. Лечение продолжается, за ребенком ведется постоянное медицинское наблюдение.
Врачи подчеркивают, что подобные случаи, когда дети проглатывают мелкие предметы — монеты, батарейки, детали игрушек, — встречаются довольно часто.
"Родителям необходимо быть особенно внимательными. Нельзя оставлять в пределах досягаемости малышей мелкие предметы, которые они могут случайно проглотить", — предупреждают специалисты Туркестанской областной детской больницы.

Читайте по теме:
Сразу 34 областные больницы обновляются в Казахстане