Каспий теңізіне мұнай төгілді

944

Бұл туралы "Глобус" экологиялық-құқықтық бастамасы орталығының атқарушы директоры Галина Чернова хабарлады.  

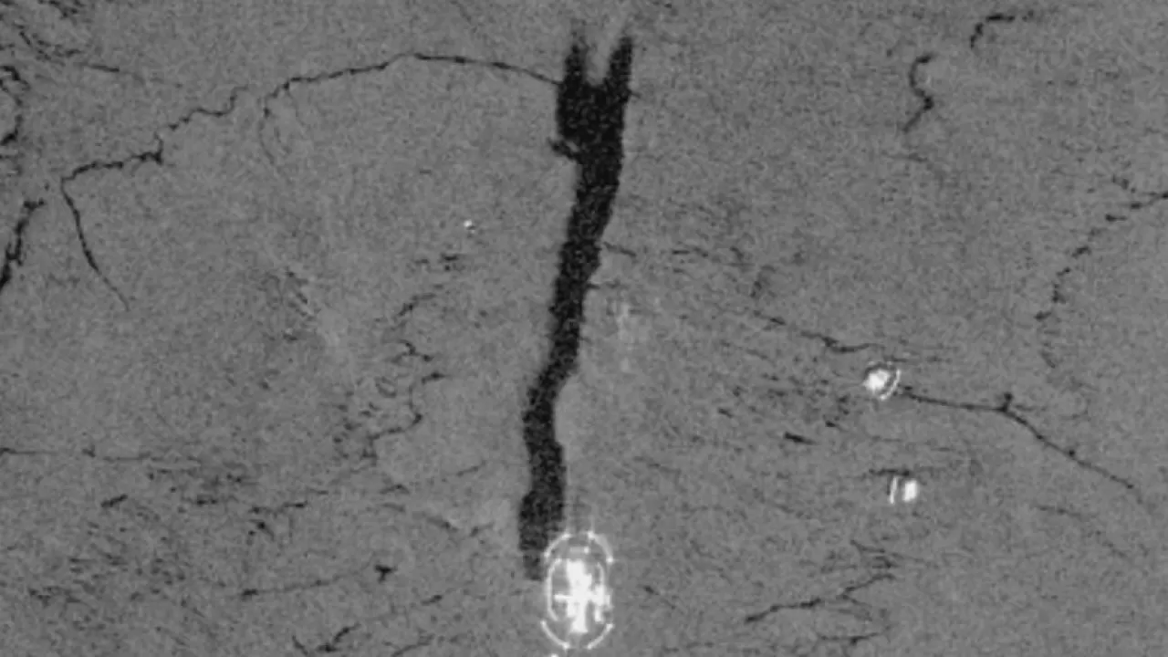
Каспий теңізіне мұнай төгілді Фото: ғарыштан түсірілген

Каспий теңізіндегі Қашаған кен орнына мұнай төгілгені анықталды. Оның айтуынша, мұнайдың төгілуі ағымдағы жылдың 30 наурызында Каспий теңізіндегі Қашаған кен орны ауданында ғарыштық мониторинг барысында анықталған.

"Осы ғарыштық мониторингті жүзеге асыратын топтың деректері бойынша еуропалық Sentinel-1A спутнигінің радиолокациялық бейнесінде қазақстандық кен орны мен Қашаған мұнай өндіру орнының төгілуі көрсетілген. Бүлінген алаң шамамен 7 шаршы шақырым, дақ Каспий теңізінің солтүстігіне қарай жылжыды", - деді ол.

Болжамды себептері:

- өндіріс кезінде мұнайдың кездейсоқ немесе авариялық ағуы;

- құрамында мұнай өнімдері бар өндірістік суларды ағызу, олар сақталуы және кәдеге жарату үшін құрлыққа шығарылуы тиіс;

- қызмет көрсету кемелерінде болуы мүмкін апаттық жағдай

"Глобус" экологиялық-құқықтық бастамасы орталығының атқарушы директоры жақында NCOC компанияның теңіз кешенінің жұмысына қатысты қоғамдық тыңдаулар өткізгенін атап өтті.

"Айта кету керек, бұл төгілу қарсаңында, яғни 29 наурызда NCOC компаниясы Дамба ауылында компанияның теңіз кешенінің жұмысы бойынша қоғамдық тыңдаулар өткізді. Тыңдауға қатысушылардан және Zoom-алаң арқылы залда айтылған барлық сұрақтарға компания менеджерлері компания ауаның да, теңіз суының да ластануына жол бермейді деп жауап берді: NCOC мамандары мен жобаны әзірлеушілердің баяндамалары мен презентацияларында компания біздің аймақтың қоршаған ортасына "нөлдік" шығарындылар мен төгінділерге ұмтылатыны хабарланды. Бірақ бұл солай ма? Ғарыштан төгілу мүлдем басқа нәрсе туралы айтады. Ал фактілер, өздеріңіз білетіндей, мүлдем басқаша",- деп қорытындылады Галина Чернова.

Айта кету керек, бұрын Каспий теңізінде майлы дақтар табылған. Маңғыстау экологтары Ақтау жағалауына мониторинг жүргізіп, зиянды заттар концентрациясының артқанын анықтаған жоқ.

Сондай-ақ, Қазақстан Экология министрлігі Каспий суларына ағызу рұқсат етілмеген болуы мүмкін деп болжап, бұл мәселе шекара қызметімен және осындай жедел істермен айналысуға құқығы бар мемлекеттік органдармен бірге пысықталатынын айтты.                                                                                          

Telegram
БІЗДІҢ ТЕЛЕГРАМ АРНАМЫЗҒА ҚОСЫЛЫҢЫЗ Ең соңғы жаңалықтар осында
Жазылу
Telegram арнамызға жазылыңыз! Жаңалықтар туралы бірінші біліңіз
Жазылу